Mistanke om ulcerativ dermal nekrose hos hunderørret i Mjøsa

19. oktober blei Veterinærinstituttet varsla om sjuk og død fisk i Mjøsa. Bilete av fisken gav mistanke om sjukdommen saprolegniose. Undersøkingar av innsend fisk stadfestar infeksjon med eggsporesoppen Saprolegnia parasitica, men gir òg mistanke om sjukdommen ulcerativ dermal nekrose (UDN).

Bildet viser hode til en av hunderørretene som ble undersøkt - typiske funn ved UDN inkluderer gråhvite eller melkeaktige hudforandringer, særlig på hodet og rygg, ofte med sårdannelse og nekrose. Foto: Åse helen Garseth, Veterinærinstituttet
Biletet viser hovudet til ein av hunderørretane som vart undersøkt – typiske funn ved UDN inkluderer gråkvite eller mjølkeaktige hudforandringar, særleg på hovudet og ryggen, ofte med sårdanning og nekrose. Foto: Åse Helen Garseth, Veterinærinstituttet.

19. oktober varsla ein privatperson Veterinærinstituttet om observasjon av sjuk og død hunderørret ved utløpet av Gudbrandsdalslågen i Lillehammer kommune. Veterinærinstituttets kontakta Oppland Jeger og fiskeforeining (OJFF) for bistand til uttak av aure til diagnostikk. OJFF fanga og avliva to aure og rapporterte i tillegg om observasjon av fleire sjuke og døydde aure i området. Veterinærinstituttet varsla Statsforvaltaren om observasjonane og om uttak av fisk til diagnostikk. 

– Aurane hadde teikn til infeksjon med saprolegnia, men funna frå obduksjonen var annleis og mykje mildare enn det vi har observert hos anadrom laksefisk i trønderske elvar denne hausten. Dette understrekar viktigheita av å gjennomføre ei grundig helseundersøking, seier Åse Helen Garseth, fagansvarleg for villfiskhelse ved Veterinærinstituttet. 

Det var en markant forskjell i fremtoning mellom anadrom ørret (denne er fra Nidelva) og hunderørret med saprolegniose. Forskjeller i fremtoning kan skyldes ulik mikrobiell sammensetning i vannmiljøet – anadrom ørret kommer fra et marint miljø, mens hunderørret lever i ferskvann.
Det var ein markant skilnad i framtoning mellom anadrom ørret (denne er frå Nidelva) og hunderørret med saprolegniose. Skilnader i framtoning kan kome av ulik mikrobiell samansetjing i vassmiljøet – anadrom ørret kjem frå eit marint miljø, medan hunderørret lever i ferskvatn. Foto: Åse Helen Gatseth, Veterinærinstituttet

Mistanke om ulcerativ dermal nekrose (UDN) 

Diagnosen saprolegniose blei stadfesta ved dyrking og artsbestemming av Saprolegnia parasitica og dessutan ved observasjon av saprolegniahyfer som hadde vakse gjennom hudlag og inn i muskulatur. Men i tillegg blei det observert endringar i hud som gav mistanke om sjukdommen ulcerativ dermal nekrose (UDN). 

Dette er ein hudsjukdom som har blitt påvist hos hunderørret tidlegare (i 1999), men som framleis har ukjend årsak, fortel Garseth. 

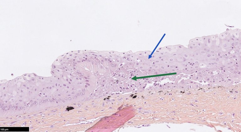
Bildet viser hud hos hunderørret med mistanke om Ulcerativ dermal nekrose (UDN). I epidermis sees oppsvulmede og degenerative epitelceller (blå pil) med subepidermal nekrose (grønn pil). Foto: Toni Erkinharju, Veterinærinstituttet
Biletet viser hud hos hunderørret med mistanke om ulcerativ dermal nekrose (UDN). I epidermis ser ein oppsvulne og degenerative epitelceller (blå pil) med subepidermal nekrose (grøn pil). Foto: Toni Erkinharju, Veterinærinstituttet.

Ho fortel at UDN rammar gytemodne laksefisk og førekjem hovudsakleg ved låge vasstemperaturar. Sjukdommen resulterer i vevsdød og sår i huda, og desse hudsårene vil raskt infiserast med sekundære smittestoff, hovudsakleg av saprolegnia. Dette forverrar sjukdommen betrakteleg og kan bli dødeleg fordi fisken får problem med å halde oppe væskebalansen. 

Frå store utbrot i Storbritannia og frå Hunderørreten har mønsteret vore at sjukdommen held fram i tre til fire år, eller meir, for deretter å forsvinne igjen. I Noreg er UDN observert hos laks og sjøaure i elvar som munnar ut i Oslofjorden. 

Varslingsplikt ved sjukdom hos villfisk 

Dersom du oppdagar sjuke eller døde villfiskar, eller mistenkjer dårleg velferd, skal du varsle Veterinærinstituttet omgåande. Alle har plikt til å varsle, og melding til Veterinærinstituttet oppfyller denne plikta. Det er ikkje nødvendig å varsle Mattilsynet i tillegg. 

Kontaktperson:

Åse Helen Garseth

Åse Helen Garseth

Fagansvarlig villfiskhelse og Seniorforsker 1110