Sykdomsutbrudd hos laksefisk i Gaula og andre trønderske elver

Høsten 2025 har det blitt registrert flere utbrudd av saprolegniose hos laksefisk i elver i Trøndelag. Utbruddene har trolig sammenheng med lav vannføring og høye temperaturer i et komplekst samspill med svekket fisk, eggsporesoppen Saprolegnia parasitica og opportunistiske bakterier.

Bildet viser sjøørret med saprolegniose. Det sees blødninger under saprolegniainfeksjonen. Foto: Åse Helen Garseth, Veterinærinstituttet
Bildet viser sjøørret med saprolegniose. Det sees blødninger under saprolegniainfeksjonen. Foto: Åse Helen Garseth, Veterinærinstituttet

– Vi ser at utbruddene kan ha sammenheng med lav vannføring og uvanlig høye temperaturer, sier Åse Helen Garseth som er fagansvarlig for villfisk ved Veterinærinstituttet. 

Den 17. september varslet Gaula Elveeierlag Veterinærinstituttet om syk fisk i Gaula. Det ble observert gytefisk av både laks og ørret med tegn til saprolegniose i sideelva Sokna ved Støren. 

Statsforvalteren gav tillatelse til uttak av fisk for sykdomsdiagnostikk og samme dag tok Gaula Elveeierlag ut to sjøørret som ble levert til Veterinærinstituttet for obduksjon og prøvetaking. 

Begge fiskene viste tydelige tegn på saprolegniainfeksjon. Likevel er det viktig å gjennomføre en grundig helseundersøkelse før vi konkluderer, sier Garseth.

Komplekse sykdomsutbrudd 

Hovedfunnene i Gaula og andre trønderske elver er saprolegniose forårsaket av Saprolegnia parasitica, den mest sykdomsfremkallende arten i slekten.  I forbindelse med utbruddene i trønderske elver har Veterinærinstituttet i tillegg dyrket ulike bakterier, blant annet arter innen såkalte bevegelige Aeromonas, Yersinia, Shewanella, Rhanella, Serratia og Lactococcus. 

Ved saprolegniose vokser eggsporesoppen ofte gjennom huden og ned i muskellaget. Fiskens hud- og slimlag fungerer som en viktig barriere mot smittestoffer og vann. Ved brudd på hudbarrieren får fisken problemer med å opprettholde salt- og vannbalansen, blodet fortynnes og det oppstår sirkulasjonsforstyrrelser, og ved saprolegniose på gjellene kan fisken kveles. 

Bildet viser muskulatur i grønt og hyfer av saprolegnia som tverrsnitt og langsgående snitt i svart. Farget med Grocott. Foto: Toni Erkinharju, Veterinærinstituttet
Bildet viser muskulatur i grønt og hyfer av saprolegnia som tverrsnitt og langsgående snitt i svart. Farget med Grocott. Foto: Toni Erkinharju, Veterinærinstituttet

 Når beskyttelsen mot bakterier brytes, blir fisken mer utsatt for infeksjoner. Derfor opptrer saprolegniose ofte sammen med bakterieinfeksjoner som utnytter den svekkede hudbarrieren. 

– Bakterier har ulike egenskaper og stiller forskjellige krav til næring og temperatur. Ved mikroskopundersøkelse kan flere bakterievarianter observeres, selv om vi ikke identifiserer alle ved dyrking på vekstmedier, forteller Garseth. 

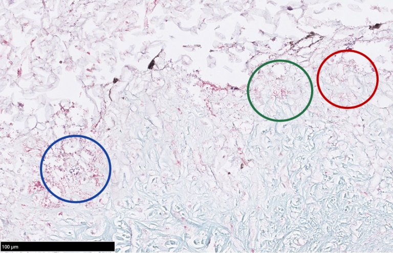
Histopatologisk snitt: Her hudsår hos sjøørret fra Nidelva med saprolegnia, Gram negative kort staver (grønn sirkel), Gram –negative lange staver (rød sirkel) og Gram positive kokker (blå sirkel). Foto: Toni Erkinharju, Veterinærinstituttet
Sammen med saprolegnia påvises det flere ulike bakterier. Her hudsår hos sjøørret fra Nidelva med saprolegnia, Gram negative kort staver (grønn sirkel), Gram –negative lange staver (rød sirkel) og Gram positive kokker (blå sirkel). Foto: Toni Erkinharju, Veterinærinstituttet

Blant bakteriene som dyrkes har bevegelige Aeromonas dominert. Dette er en gruppe bakterier som er lett å dyrke, og som finnes vidt utbredt i ferskvann og brakkvann. Begrepet «opportunistisk» brukes om disse fordi de vanligvis bare gir sykdom når verten er svekket, - de slår til når forholdene ligger til rette for det. Enkelte av disse bakteriene er et problem i ferskvannsoppdrett i varmere strøk, men også i Norge er det registrert alvorlig sykdom hos både vill og oppdrettet fisk. Bevegelige Aeromonas har evne til å bryte ned proteiner, fett og/eller røde blodlegemer, noe som bidrar til sykdomsutvikling hos fisk. 

Vill fisk har en kompleks helse med mange funn. Her Myxobolus lignende parasitter i den forlengede marg (i hjernen) hos sjøørret fra Sokna. Foto: Toni Erkinharju, Veterinærinstituttet
Histopatologiske snitt: Vill fisk har en kompleks helse med mange funn. Her Myxobolus lignende-parasitter i den forlengede marg (i hjernen) hos sjøørret fra Sokna. Foto: Toni Erkinharju, Veterinærinstituttet

Også ungfisk ble rammet 

I Gaula ble det også observert syk og død ungfisk av både ørret og laks. Prøvene fra begge arter påviste parasitten G. derjavinoides men ingen funn av Gyrodactylus salaris. 

G. derjavinoides er en slektning av G. salaris og har vært er påvist i Gaula flere ganger tidligere i forbindelse med overvåkingsprogrammer. 

Parr med saprolegniose og vorte. Vorter gjør parren mer mottakelig for saprolegniainfeksjon. Foto: Åse Helen Garseth, Veterinærinstituttet
Det ble registrert dødelighet hos ungfisk av laks og ørret i Sokna. Her en parr med saprolegniose og vorte. Vorter gjør parren mer mottakelig for saprolegniainfeksjon. I tillegg ble det registrert infestasjon med Gyrodactylus derjavinoides, særlig hos ungfisk av sjøørret. Foto: Åse Helen Garseth, Veterinærinstituttet

På ungfisk ble det også registrert vortesyke (papillomatose). Det er tidligere beskrevet at vorter kan gjøre ungfisk mer mottakelig for saprolegniainfeksjon. Hvilke effekter sykdomsutbruddet har hatt for rekrutter vil først bli klart etter neste års ungfisktelling. 

Veterinærinstituttets rolle 

Veterinærinstituttet har et nasjonalt ansvar for beredskap, overvåking og forskning knyttet til helse hos villfisk i Norge. Instituttet er mottaker av varsler om sykdom, dødelighet og dårlig velferd via Syk villfisk-portalen, og utfører diagnostikk, utredninger og risikovurderinger basert, blant annet på disse varslene. Instituttet har imidlertid ikke et feltapparat som kan bistå elveeierlag når beredskapshendelser oppstår. Derimot har instituttet bidratt med gjennomføring av kurs i fiskehelse og beredskap for elveeierlag i regi av organisasjonen Norske Lakseelver. 

Veterinærinstituttet har en sentral rolle i å utvikle kunnskap om villfiskens helse som grunnlag for bedre beredskap og en kunnskapsbasert forvaltning av villfiskbestander. Instituttet leder nasjonale overvåkingsprogrammer, som for eksempel kartlegging av bakterielle nyresykdommer. 

Les mer og meld fra på Syk villfisk-portalen

https://www.vetinst.no/syk-villfisk

Saprolegniose - Veterinærinstituttet

Villfiskrapporten 2024 - Veterinærinstituttet 

Åse Helen Garseth

Åse Helen Garseth

Fagansvarlig villfiskhelse og Seniorforsker 1110